審美治療・ホワイトニング
審美治療

あなたの歯、もっときれいにしませんか?
歯を綺麗にすることで自信を持つことができます!

明眸皓歯(めいぼうこうし)。これは、美しい目元と白くてきれいな歯という意味から、美人を表現するために使われる言葉です。
白くきれいな歯は、あなたの印象をガラリと変え、さらにそんな歯を手に入れることで内面まで明るくなる方もたくさんいらっしゃいます。歯の治療では、機能面をきちんと改善するのは当然ですが、いかにきれいに治すかも重要です。
どうせ治すなら白く美しい歯にしたい、金属が目立たないようにしたい、既に入っている銀歯を変えたいという方は、当院へご相談いただければと思います。
詰め物・被せ物の種類
見栄えの良い歯に詰める素材はいくらでもあります。

歯を削った後に詰める素材と言えば、銀歯が一番ポピュラーと言えます。 保険を適用できるために『費用を抑えることができる』というのが大きなポイントと言うのと、患者さま自身が「銀歯しか詰める素材がない」と思っているケースもありました。
しかし、銀歯は治療費用を抑えることができる一方、素材の特性上どうしても口の中に入れると『黒ずんで』見えてしまうので審美的に優れているとはいえず、加えて虫歯の再発率が高いことが挙げられます。
しかし実際は見た目が綺麗に仕上がる詰め素材はたくさんあり、値段や素材も選ぶのに困るぐらいです。下記に挙げている素材が当院でご提供させていただいている素材になり、値段や特性も様々です。患者さまのご要望にあわせてご提案させていただきますのでお気兼ねなくご相談下さい。
硬質レジン前装冠(前歯の治療 )

- 見た目 表は白い素材を使っていますが、裏は金属のため透明感がありません。
- 変色 2〜3年で変色していきます。
- 耐久性 プラスチック素材でできているため、少しずつすり減っていきます。
- 汚れ 細菌が繁殖しやすく、口臭の原因になることがあります。
メタルボンド

- 見た目 治療したことがわからないくらい自然に仕上がります。
- 変色 色が変わる心配はありません。ただし金属によって歯茎が黒ずむ可能性はあります。
- 耐久性 金属のフレームで支えているため高い耐久性があります。
- 汚れ 汚れは付きにくく、臭いも発生しません。
ジルコニアオールセラミック

- 見た目 透明感があり、最もきれいに仕上がります。
- 変色 歯も歯茎も、変色の心配はありません。
- 耐久性 強い力が加わると欠けることはありますが、通常の使用では心配ありません。
- 汚れ 汚れは付きにくく、臭いも発生しません。
ハイブリッドセラミック

- プラスチック素材であるレジンを含んだセラミック素材であるため安価。
- 見た目はジルコニアに比べると若干劣りますが、持ちは良いです。
- 長期間使用すると変色する可能性があります。

- 見た目 プラスチック素材が混ざっているため、オールセラミックよりも劣ります。
- 変色 2〜3年で変色して黄ばんできます。
- 耐久性 セラミックより柔らかいため、すり減っていきます。
- 汚れ 汚れが表面に付着して臭いの原因となることがあります。
ジルコニア

- 見た目 ジルコニア単体では透明感がないため、セラミックと組み合わせて使うこともあります。
- 変色 変色の心配はありません。
- 耐久性 かなり丈夫で、人工ダイヤモンドと呼ばれることもあるくらいです。
- 汚れ 汚れは付きにくく、臭いも発生しません。
審美治療費用 ※すべて税込
| メタルボンド | 99,000円 |
|---|---|
| オールセラミック | 110,000円 |
| ハイブリッド | 55,000円 |
| ジルコニア | 88,000円 |
ホワイトニング(歯を切削することなく薬剤により科学的に歯を白くする方法)
ホワイトニングで笑顔をより一層素敵にしませんか?
歯の黄ばみの原因は3つありホワイトニングで改善できます。
- 加齢により歯が黄ばんだもの
- 着色物が歯の内部に浸透し変色した歯
- 遺伝や生まれつきで歯が黄ばんだもの
歯の表面についている着色汚れを取り除くだけではなく歯そのものを白くするのがホワイトニングです。 当院では、医院で行う「オフィスホワイトニング」とご自宅で行う「ホームホワイトニング」のどちらにも対応しています。 お気軽にご相談下さい。
ホワイトニングでは、まず表面に付いている着色汚れを取り除き、その後ホワイトニングジェルを使って歯の中の色素を分解していきます。

今当院のウェブサイトをご覧になられている皆様、
下記のようなお悩みはございませんか?
- 歯が黄ばんでいる、茶色い
- 年を取って歯の色が変わってきた
- 白い歯に憧れる
- 人に会う時の印象を良くしたい
- 自信の持てる口元を実現したい
人と会って話をする時、意外と口元は見られているものです。せっかくヘアスタイルやメイクにこだわっていても、歯が黄ばんでいたり茶色くなっていたりしては台無しです。歯を白くすることで、あなたの魅力をもっと引き立ててみませんか。
ホワイトニングは専門の薬剤が歯そのものに作用するため、元々持っている歯の色よりも、さらに白くすることが可能です。
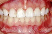
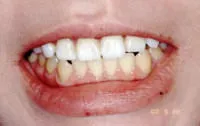
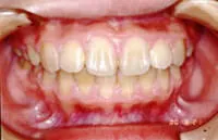
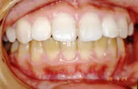
当院での治療例
なお、患者さんによって、時間や方法もかわります。
お気軽にご来院、ご相談ください。
例1

治療前

治療後
例2

治療前

治療後
例3

治療前

治療後
オフィスホワイトニング(外側から白くする)

当院内でホワイトニング剤を塗布し機材を使用し歯を白くする方法です。
メリット
- 一度の来院で白さを実感できる。
- プロの施術なので安心。
- 艶(つや)や透明感が出やすい。
デメリット
- ホームホワイトニングに比べると後戻りが早い。
- 施術当日・翌朝に知覚過敏が比較的、出やすい。
※当院の器材には2種類のモードを用意しており知覚過敏に対応しています。
ホームホワイトニング(内部まで白くする)

ご自宅などで、ご自身で歯を白くするホワイトニングです。
医院で作製した患者さま専用のマウストレーにホワイトニングジェルを流し込み装着していただきます。
メリット
- 白さが長持ちする。
- 自分の好きなペースで行える。
デメリット
- オフィスホワイトニングに比べて効果が現れるのに時間がかかる。
- 続けるのに根気が必要。
デュアルホワイトニング(外部と内部から白くする)
オフィスホワイトニングとホームホワイトニングを併用する方法でどちらの長所も持ち合わせています。費用はかかりますが理想的な白さに近づけることが出来ます。
当院では3種類の濃度のジェルを用意し患者さまとご相談してから行ってきます。
ホームホワイトニング

ホワイトニング用のマウスピースをお作りして、その後はご自宅でマウスピースにホワイトニングジェルを付け、1日数時間装着していただきます。
1回ですぐに歯が白くなるわけではなく、毎日続けていくことで少しずつ歯が白くなっていきます(通常2週間程度で歯が白くなります)。
ご自宅で続けていただく必要がありますが、一度白くなった歯は後戻りしにくいという特徴があります。
ホワイトニング費用 ※すべて税込
| オフィスホワイトニング | 27,500円 |
|---|---|
| ホームホワイトニング | 専門スタッフによるマウスピース作製(上下)/ホワイトニング薬液2本 35,200円 |
| ホームホワイトニング 追加薬液1本 2,200円 | |
| デュアルホワイトニング (オフィス+ホームホワイトニング) | 55,000円 |












