根管治療・残根治療
根管治療

根管治療をご存知ですか?
歯を失う前にできることはあります。

虫歯が酷くなると歯の内部にある神経(歯髄)を抜かなければならなくなり、さらに進行すると歯の根っこまで虫歯になり、その下にある歯茎の中に膿ができてしまうことがあります。
こうなってしまっては、通常の「削る、詰める」といった治療方法で治すことはできません。そこで行うのが根管治療です。専用の極細い器具を使用し、歯の根っこの管の中をきれいにお掃除していきます。

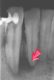
ウミの袋ができた状態

治療後の状態
根管治療は根気のいる治療
歯の根っこの中にある管は、とても細く、さらに枝分かれしたり曲がったりしているため、完全にきれいにするのはかなり難易度が高いというのが正直なところです。
そのため、治療は何度か繰り返すのが通常で、患者さまにも根気良く通っていただく必要があります。とは言え、歯を残すための最後の治療ですので、諦めずに一緒に頑張っていきましょう。
歯を残すために…
自分の歯は、一度抜いてしまったら二度と生えてくることはありません。

インプラントや入れ歯などで噛む機能を補うことはできますが、やはり様々な点において天然歯に敵うものはありません。
そのため、虫歯が進行してしまっても、安易に抜くのではなくできるだけ残すことを大切にしています。
ただし、お口の中の状態によっては、無理に残すことで他の歯まで悪くしてしまうようなこともありますので、そういった場合には患者さまにもきちんとご説明をさせていただいた上で、歯を抜くという選択をすることもあります。
残根治療
残根治療とは
虫歯が進行していくと、歯のほとんどが溶けてなくなってしまい、根っこだけが残ることになります。

そして、やがて周りの歯茎よりも低い位置に歯が残るようになると、適切な処置ができなくなってしまいます。そのため、通常の虫歯治療とは違う、「残根治療」と呼ばれる特別な処置が必要となります。
残根治療の種類
矯正的挺出
残っている歯の根っこに器具を取り付けて、引っ張り上げます。そうすることで周囲の歯茎が修復され、さらに歯に対する適切な処置がしやすくなります。

1.歯の根の部分だけが残っている状態。

2.残った歯にフックのようなものをつけ、ゆっくりと引っ張りあげていく。

3.歯周組織が修復される。
外科的挺出
残っている歯の根っこを一度抜きます。そして歯茎に簡単な処置を施した後に、再度、埋もれないように歯を移植します。

1.一度歯を抜きます。

2.歯を再植して固定します。
歯冠長延長術
周囲の歯茎や骨を削り、高さを下げることで、根っこが埋もれないように露出させる治療方法です。
いずれの治療方法も、歯が溶けてしまった面を歯茎よりも高い位置に出すことで、根管治療をしやすくし、被せ物ができる状態にします。
当院では、できるだけ歯を残すために最善を尽くしますが、やはりこうなってしまう前に治療をしておくに越したことはありません。
「虫歯かな?」と少しでも思った方は、放置せずにすぐに治療にいらしていただければと思います。治療は、早ければ早いほど、身体への負担も少なくて済みます。












